I/ Bọc răng sứ toàn hàm là gì?
Làm răng sứ toàn hàm là phương pháp thẩm mỹ răng toàn diện, khắc phục các nhược điểm của răng trong 1 lần duy nhất. Tuy vậy, việc chỉ định áp dụng cách thẩm mỹ răng này cũng cần phải cẩn trọng vì không phải bất cứ trường hợp nào cũng có thể thực hiện. Để xác định có nên bọc răng sứ nguyên hàm không thì còn phải xem xét kỹ tình trạng răng của mỗi người.
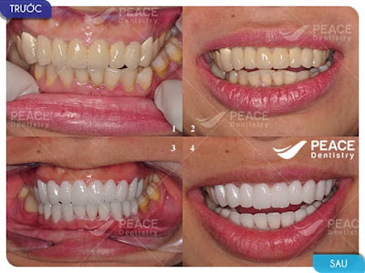
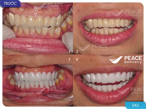
II/ Case study làm răng sứ cả hàm phong cách nam tính:
- Trước khi điều trị: Răng ố vàng do bệnh lý men răng, chen chúc nhẹ, hình thể răng không đẹp. Ngoài ra, khách hàng ở tuổi trung niên có khuôn mặt nam tính. Mong muốn của khách hàng là thiết kế lại nụ cười mới với các tiêu chí: bộc lộ nét nam tính, cuốn hút và dĩ nhiên là hạn chế việc mài răng.
- Chỉ định điều trị: Bọc 20 răng sứ thẩm mỹ Zirconia DDBio (Dental Direkt, made in Germany) với phong cách Agressive có một số điều chỉnh để phù hợp với khuôn mặt khách hàng. Màu răng 1M1 (3D Vita Master Guide).
- Kết quả sau khi điều trị: form răng, màu răng hài hòa với khuôn mặt, khuôn miệng, màu da, tính cách... của khách hàng nên bộc lộ rõ nụ cười nam tính và cuốn hút.
- Hình ảnh khách hàng trước và sau khi điều trị:
Tham khảo: chi phí làm răng sứ cả hàm
Phong các thẩm mỹ răng sứ Aggressive Smile Style là gì?
- Đặc trưng: Phong cách này gói gọn trong 2 chữ “NAM TÍNH & CUỐN HÚT": Form răng đều, tỷ lệ chuẩn răng chuẩn nhưng 2 răng cửa hơi dài hơn và đặc trưng là đường nét răng sắc sảo, cứng rắn. Màu răng có thể trắng sáng vừa phải hoặc màu tự nhiên nhưng có độ trong đục.
- Nụ cười sẽ như thế nào: Aggressive Style Smile tạo ra một nụ cười gợi cảm theo kiểu nam tính, nó bật lên tính cách mạnh mẽ, quyết đoán và chín chắn ở người đàn ông.
- Ai phù hợp: Hầu hết nam giới có khuôn mặt nam tính hoặc khuôn mặt dạng Square, mặt chữ điền, Diamond, Tam giác hoặc dạng Oval với tính cách mạnh mẽ đều phù hợp. Nó không phải là form răng kén người.
III/ Hình ảnh khách hàng bọc răng sứ toàn hàm tại Peace Dentistry:
(Bọc 20 răng sứ Cercon cho răng tối màu, bảo hành IPDI 10 năm)
(Bọc 20 răng sứ Zirconia cho răng nhiễm kháng sinh, hình thể xấu, sâu răng)
(Bọc 16 răng răng sứ Cercon HT cho răng: hình thể xấu, hở kẽ, mẻ nhiều răng)
IV/ Peace Dentistry - Địa chỉ nha khoa bọc răng sứ uy tín tại TpHCM:
Với hơn 15 năm hoạt động, chúng tôi luôn tâm niệm: “Sự hài lòng của khách hàng là nền tảng vững chắc nhất giúp Peace Dentistry phát triển và khách hàng sẽ là người đưa thương hiệu của Peace Dentistry đến với cộng đồng”.
- Đội ngũ bác sĩ, chuyên gia thẩm mỹ nha khoa giỏi, nhiều năm kinh nghiệm và đào tạo bài bản về thẩm mỹ nha khoa hiện đại;
- Tuân thủ nguyên tắc xâm lấn tối thiểu, mài răng tối thiểu, bảo tồn tối đa răng thật, không tổn hại sức khoẻ và tuổi thọ răng;
- Chỉ sử dụng răng sứ cao cấp, chính hãng và nổi tiếng;
- Ứng dụng những công nghệ, kỹ thuật Smile Makeover hiện đại: Thiết kế nụ cười kỹ thuật số DSD, CAD/CAM, Wax-up, Mock up,...
- Trang thiết bị chuẩn quốc tế: Hệ thống CT Cone Beam, X-quang 3 chiều kỹ thuật số Gendex, hệ thống Scan trong miệng Trios4 3Shapes, ghế nha Osstem và Kavo (USA),…
Dù không có nhu cầu làm răng sứ cả hàm thì các bạn cũng nên chú ý chăm sóc răng miệng đều đặn, đúng cách giúp ngăn chặn các bệnh về răng và nướu. Nên khám răng định kỳ ở các cơ sở, phòng khám nha khoa uy tin o sai gon để có cách điều trị thích hợp và an toàn nhất.
Mọi thắc mắc về dịch vụ làm răng sứ các bạn có thể inbox đăng ký trực tuyến tại fanpage: https://www.facebook.com/PeaceDentistry hoặc liên hệ Hotline: 0978.563.565/0943.563.565/0942.563.565 để được giải đáp nhanh nhất ngoài ra các bạn có thể đến trực tiếp Peace Dentistry - nha khoa quận 1 để được bác sĩ chuyên khoa răng sứ thăm khám và tư vấn miễn phí.




0 nhận xét:
Đăng nhận xét